Die prophylaxeorientierte Praxis und periimplantäre Erkrankungen
Jährlich werden ca. eine Million Implantate inseriert, Tendenz steigend. Laut Derks & Tomasi liegt die durchschnittliche Prävalenz für die periimplantäre Mukositis bei 43 % und für die Periimplantitis bei 22 %. Demnach können wir davon ausgehen, dass eine Welle an periimplantären Erkrankungen auf uns zurollt. Zur Prävention der Erkrankung ist die Mitwirkung einer prophylaxeorientierten Praxis unerlässlich.
Dies ist die Fortsetzung unseres Artikels vom 9. August. Um zum ersten Teil zu gelangen, klicken Sie hier.
Die Betreuung von Patienten mit Implantaten in der Praxis und Pflegetipps für die häusliche Mundhygiene
Eine strukturierte UPIT beinhaltet folgende Punkte:
- Aufnahme/Aktualisieren der dentalen und allgemeinen Anamnese
- intraoraler Befund (unter anderem zur Überprüfung von risikoassoziierten biologischen oder technischen Komponenten)
- schonendes Messen von Sondierungstiefen und Aufnahme von Blutungen auf Sondieren
- Aufnahme eines Mundhygienebefundes
- Mundhygieneinstruktion und Remotivierungsgespräch mit dem Patienten
- eine professionelle mechanische Biofilmreduktion
- Festlegung des UPIT-Intervalls, bestimmt durch das individuelle Risikoprofil.
Abb. 2: Einmal jährlich sollten Taschensondiertiefen an Implantaten gemessen werden, um frühzeitig eine Periimplantitis festzustellen
Nach der Ermittlung der Risikofaktoren stellt die Befundung den zweiten elementaren Punkt in der UPIT dar.
Periimplantäre Gesundheit wird durch das Fehlen von Entzündungszeichen charakterisiert, dieses kann sowohl um Implantate mit normalem als auch reduziertem Knochenniveau bestehen. Es ist also nicht möglich, einen Bereich von Sondierungstiefen zu definieren, der mit periimplantärer Gesundheit einhergeht (8, 9).
Das regelmäßige Ermitteln von Taschensondierungstiefen und von ersten Entzündungszeichen wie das Bluten auf Sondieren (TST/BAS) hat demnach einen besonders hohen Stellenwert.
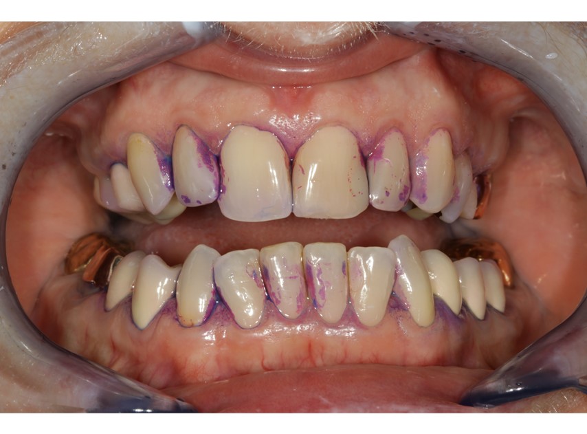
Es ist von Vorteil, bereits beim Einsetzen der Suprakonstruktion die TST/BAS (6-Punkt-Messung) aufzunehmen. Der Wert dient als Baseline und sollte in der Patientenkartei festgehalten werden. Einmal jährlich empfiehlt es sich, TST/BAS an Implantaten aufzunehmen, um einen möglichen Abbau des periimplantären Stützgewebes zu ermitteln (Abb. 2). Dieser sollte mit der Baseline verglichen werden. Stellt sich eine Abweichung des Referenzwertes dar, ist es ein erster Hinweis auf einen entzündlichen Prozess. Periimplantitis kann mit weiterer Diagnostik (Röntgenbilder) im Frühstadium erkannt und behandelt werden. Laut der aktuellen Klassifikation von periimplantären Erkrankungen kann in Abwesenheit vorheriger Untersuchungsdaten die Diagnose einer Periimplantitis aufgrund der Kombination von Vorhandensein von Blutung und/oder Suppuration bei schonungsvollem Sondieren und Sondierungswerten von ≥6 mm gestellt werden (Abb. 3). Bei der Aufnahme der Sondiertiefen kann eine Kunststoffsonde durch Flexibilitätseigenschaften im Vergleich zu einer starren Stahlsonde einen Vorteil bieten (Abb. 4). Das gilt insbesondere bei Implantaten, die sich durch volumenöse Aufbauten als schwer zugänglich erweisen. Eine weitere Schwierigkeit beim Sondieren kann das Platform-Switching (Rö-Bild, Abb. 5) sein (Versorgung von Implantaten mit Durchmesser-reduziertem Aufbau). Die Sonde kann beim Messvorgang auf die Implantatschulter stoßen.
Periimplantäre Mukositis ist gekennzeichnet durch Bluten auf Sondieren (BAS) und sichtbaren Entzündungszeichen (10).
Laut Jepsen et al. (11) kann eine vollständige Abheilung der periimplantären Mukositis nicht bei allen Patienten vorhersehbar erreicht werden.
Gibt es erste Anzeichen einer Blutung auf Sondieren, müssen diese engmaschig kontrolliert werden. Daher sollten regelmäßige Nachkontrollen (z. B. alle drei Monate) zur Prävention und zur frühzeitigen Diagnostik einer Periimplantitis geplant werden.
![mikrobiom[1].jpg](/sites/default/files/2021-04/mikrobiom[1].jpg)


![1128_Bruxismus[1].jpg](/sites/default/files/2021-04/1128_Bruxismus[1].jpg)
Eine Optimierung der häuslichen Mundhygiene durch den Patienten kann den Therapieerfolg positiv beeinflussen (12). Darum bietet sich zur Motivation der täglichen Selbstpflege die Aufnahme eines Mundhygienebefundes inklusive Mundhygieneinstruktion an. Für den Hausgebrauch können Handzahnbürsten wie auch elektrische Zahnbürsten empfohlen werden. Das Anwenden von Hilfsmitteln wie Interdentalraumbürstchen, Zahnseide oder spezielle Implantatseiden (Abb. 6 und 7) ist unbedingt erforderlich. Eine Implantatkonstruktion kann vergleichsweise zu natürlichen Zähnen vermehrt Plaqueretentionsstellen aufweisen – meist im Abutmentbereich.
Laut Jepsen et al. 2015 (13) soll bei einer periimplantären Mukositis eine regelmäßige professionelle mechanische Plaqueentfernung erfolgen. Diese folgt nach Befundaufnahme und Mundhygieneinstruktion.
Implantate können mit besonderer Vorsicht in gleicher Weise wie natürliche Zähne gereinigt werden. Die Behandlung mit dem Luftpulverwasserstrahlgerät ist bei periimplantärer Mukositis als effizient einzustufen. Eine Monotherapie mittels Glycin-Air-Polishing führt zu einer signifikanten Reduktion der BAS-Werte (14). Neben dem Pulver auf Glycinbasis sind auch Pulver auf Erythritolbasis zur subgingivalen/submukösen Anwendung geeignet.
Resümee
Periimplantitis scheint in einem nicht linearen und beschleunigenden Muster voranzuschreiten, falls die Behandlung ausbleibt (15).
Laut Listl & Schwendicke, 2015 (16), ist die Kostenintensität einer Prävention der Periimplantitis durch die frühzeitige Therapie der periimplantären Mukositis günstiger einzustufen als die Behandlung einer klinisch manifesten Periimplantitis. Die Früherkennung und Vermeidung einer Periimplantitis ist demnach das Juwel der Nachsorge und die UPIT folglich eine Win-Win-Situation für den Patienten und die Zahnarztpraxis.
Die Qualität der Prophylaxefachkräfte sollte in der Behandlung gewährleistet sein. Gemeinsam können sie mit dem Zahnarzt als überzeugendes Behandlerteam agieren, um eine hohe Patientenzufriedenheit in der UPIT zu erwirken. Das Verständnis des Patienten für die wiederkehrende Nachsorge muss erarbeitet werden. Die umfassende Beratung ist ein wirksames Instrument, ebenso erleichtern klare Praxisstrukturen die Patientenführung. Ein Beratungsgespräch mit PMPR vor der Implantation kann für den Patienten eine langfristige Vorstellung der Nachsorge schaffen. Ergänzend zur professionellen mechanischen Plaquereduktion sollten auch in jeder Sitzung Remotivationsgespräche und eine Mundhygieneinstruktion stattfinden (Abb. 8) sowie mögliche lokale und systemische Risikofaktoren erfasst werden. Bei Patienten mit unauffälligem Risikoprofil kann eine UPIT ein- bis zweimal im Jahr empfehlenswert sein, sobald Faktoren einfließen, ist die UPIT drei- bis viermal im Jahr anzuraten.
DH Christin Damann
46414 Rhede
E-Mail: christin.damann@gmx.de
Literaturverzeichnis
- Derks J, Tomasi C. Peri-implant health and disease. A systematic review of current epidemiology. J Clin Periodontol. 2014. Aus S3-Leitlinie DGI, DGZMK: Die Behandlung periimplantärer Infektionen an Zahnimplantaten, AWMF-Registernummer: 083-023, Stand: Mai 2016; Gültig bis: Mai 2021.
- Monje A, Aranda L, Diaz KT, Alarcon MA, Bagramian RA, Wang HL, Catena A. Impact of maintenance therapy for the prevention of peri-implant dieseases; a systemativ review and metaanalysis. J Dent Res. 2016;95:372-97.
- Schwarz F, Derks J, Monje A, Wang H-L. Peri-implantitis. J Clin Periodontol. 2018;45(Suppl 20):S246-S266.
- Schwarz F, Becker J. S3-Leitlinie, Die Behandlung periimplantärer Infektionen an Zahnimplantaten, AWMF-Registernummer: 083-023. 2016.
- Renvert S, Polyzois l. S3-Leitlinie, Die Behandlung periimplantärerInfektionen an Zahnimplantaten, AWMF-Registernummer: 083-023. 2014.
- Heitz-Mayfield LJA. S3-Leitlinie, Die Behandlung periimplantärer Infektionen an Zahnimplantaten, AWMF-Registernummer: 083-023. 2008.
- Christgau M. Unterstützende periimplantäre Therapie. Parodontologie, 2020;31(2):131-46.
- Berglundh T, Armitage G, et al. Peri-implant diseases and conditions: Con Sensus report of workgroup 4 of the 2017 world workshop on the classification of periodontal and peri-implant diseases and conditions. J Clin Periodontol. 2018;45(Suppl 20): S286-S291.
- Renvert S, Persson GR, Pirih FQ, Camargo PM. Peri-implant health, periimplant mucositis and peri-implantitis: case definitions and diagnostic considerations. J Clin Periodontol. 2018;45(Suppl 20):S278-S285.
- Heitz-Mayfield LJA, Salvi GE. Peri-implant mucositis. J Clin Periodontol. 2018;45(Suppl 20):S237-S245. 11 Jepsen et al. 2015, S3-Leitlinie, Die Behandlung periimplantärer Infektionen an Zahnimplantaten, AWMF-Registernummer: 083-023. 2014.
- Salvi GE, Ramseier CA. S3-Leitlinie, Die Behandlung periimplantärer Infektionen an Zahnimplantaten, AWMF-Registernummer: 083-023. 2014.
- Jepsen et al. 2015, S3-Leitlinie, Die Behandlung periimplantärer Infektionen an Zahnimplantaten, AWMF-Registernummer: 083-023. 2014.
- Sahm et al. 2011; John et al. 2015, Die Behandlung periimplantärer Infektionen an Zahnimplantaten, AWMF-Registernummer: 083-023.
- Jepsen et al. 2015, S3-Leitlinie, Die Behandlung periimplantärer Infektionen an Zahnimplantaten, AWMF-Registernummer: 083-023. 2014.
- Listl und Schwendicke, 2015, S3-Leitlinie, Die Behandlung periimplantärer Infektionen an Zahnimplantaten, AWMF-Registernummer: 083-023. 2016.

