Probiotika: Schlechte Keime? Gute Keime!
Probiotika? Das sind doch … richtig, Keime. Und von denen gibt es neben vielen „guten“ (die wir im Mund und von da an abwärts für die Umsetzung unserer Nahrung dringend benötigen) auch noch die „bösen“. Die, welche Ihnen bei Ihrer Prophylaxearbeit dauernd Schwierigkeiten bereiten.
Die, welche manchmal auch dem besten SRP und der super Mundspüllösung widerstehen. Aber was können Sie, oder besser gesagt Ihr Patient, dagegen tun? Eine gesunde Immunkompetenz, ich gebrauche dieses Wort in der Beratung sehr gern, wäre wünschenswert. Immunkompetenz? Das Lexikon sagt dazu: „Die Fähigkeit des Körpers, auf einen (Antigen)-Reiz zu reagieren.“ Auf gut Deutsch: Der Körper sollte in der Lage sein, eine Krankheit selbst zu bekämpfen. Manchmal allerdings schafft er das ohne Hilfsmittel nicht. Wir kennen als Hilfsmittel zum Beispiel Antibiotika – aber diesen stehen unsere Patienten, und das kann man ihnen nicht verdenken, oft ablehnend gegenüber.
Was aber ist die Alternative? Eine Möglichkeit ist die Stärkung des Immunsystems – und das können wir im Kleinen erreichen, wenn wir die guten Bakterien in der Mundhöhle unterstützen, damit sie die bösen bekämpfen können. Wie genau machen wir das?
In unserer Praxis nutzen wir ProlacSan (Loser & Co. GmbH, Leverkusen), ein orales Probiotikum. Ein Probiotikum ist eine Zubereitung, also ein gemäß einer Rezeptur aus bestimmten (Grund)-Stoffen hergestelltes Produkt; in unserem Fall enthält es lebensfähige Mikroorganismen (Lactobazillen). Diese Mikroorganismen sind in unserer gesunden Mundflora normalerweise vorhanden, müssen jedoch bei Patienten, deren bakterielles Gleichgewicht – aus verschiedenen Gründen – gestört ist, wieder zugeführt werden. ProlacSan beinhaltet Lactobacillus brevis und plantarum.
Was macht diese beiden Lactobazillenstämme interessant für ihren zahnärztlichen Einsatz? Sie kolonisieren gut und haften fest an Mucosa und Zahn. Sie produzieren keine geruchsbildenden Stoffe. Ihre Widerstandskraft gegen pathogene Keime und ihre Resistenz gegen Zahnpasta und Mundspülungen machen sie zu einem idealen Probiotikum für die Mundhöhle.
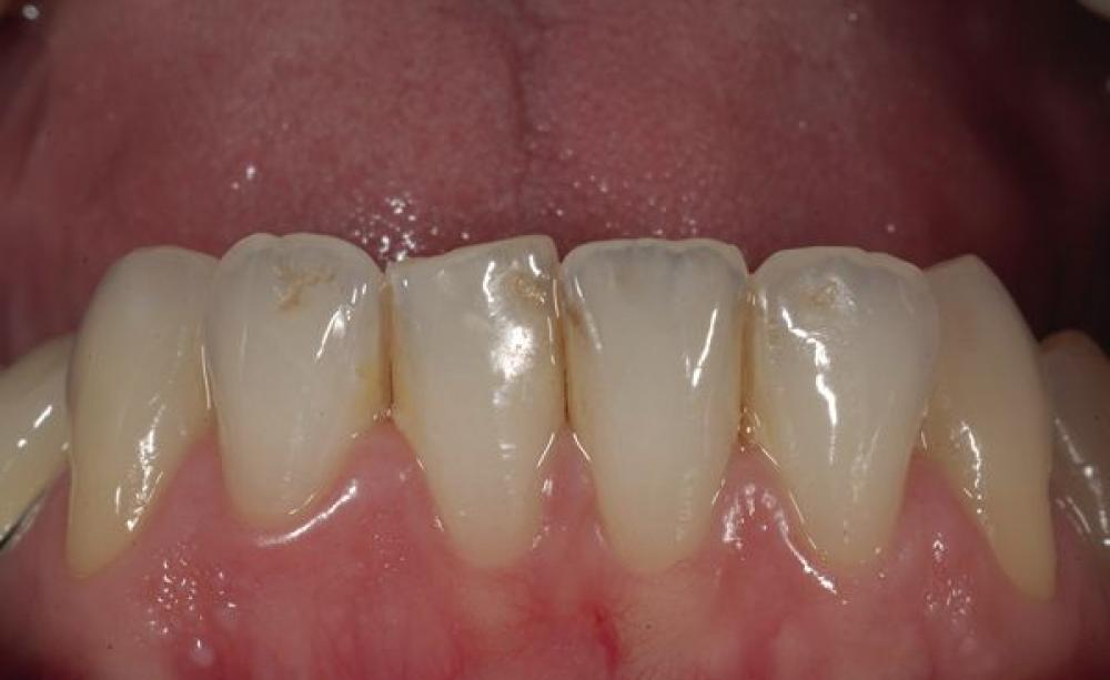
Behandlungsfall: Ich möchte Ihnen dazu einen Behandlungsfall vorstellen, den ich erfolgreich mithilfe „meiner“ ZMF therapieren konnte. Bei einer Patientin hatte ich eine neue implantatgetragene Brücke eingegliedert. Der zu Beginn der Implantation durchgeführte Markerkeimtest sah gut aus. Leider hatte sich dann die Situation in der Folge etwas verändert. Eine weitere Keimbestimmung zeigte nämlich eine Zunahme wichtiger Periimplantitis-Leitkeime. Die Periimplantitis-Leitkeime spielen auch bei der Entstehung und dem Fortschreiten einer Parodontalerkrankung eine bedeutsame Rolle. Dementsprechend sah auch die marginale Gingiva an den natürlichen Zähnen entzündlich verändert aus (Abb. 1).
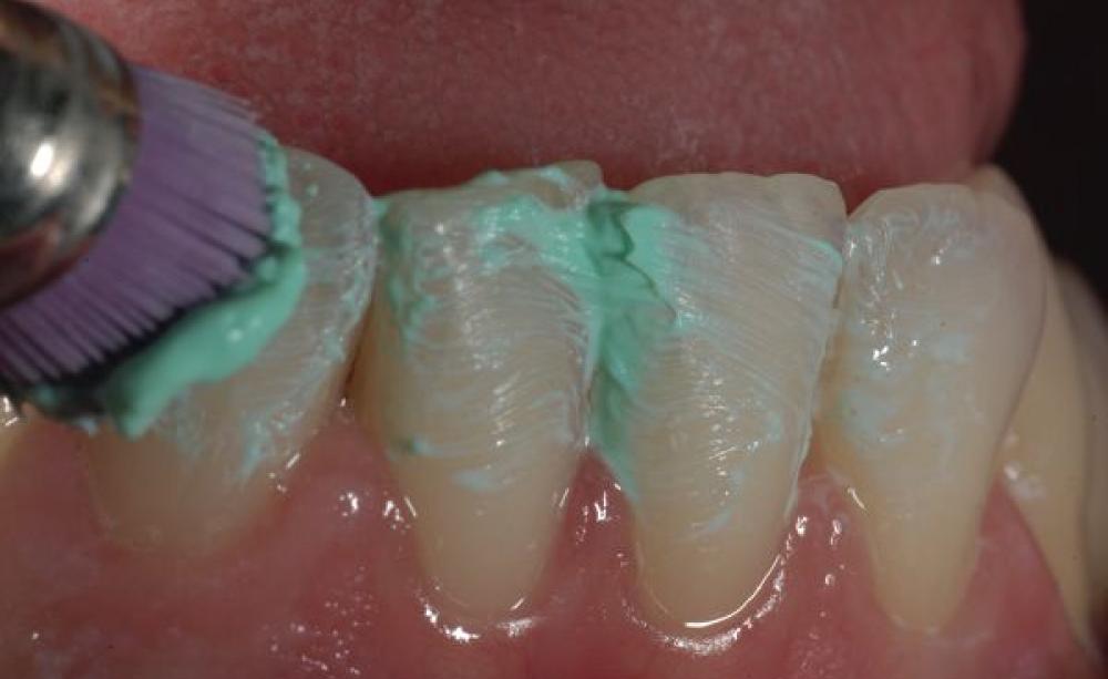
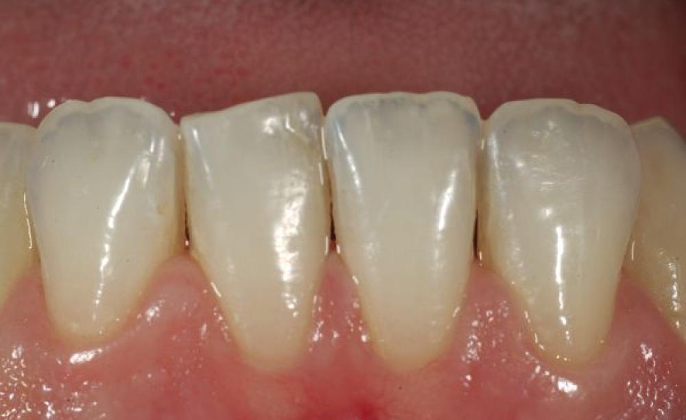
Meine ZFA hat nach einer Professionellen Zahn- und Implantatreinigung im gesamten Mundraum, also sowohl an den Implantatabutments als auch an den natürlichen Zähnen, ProlacSan in Gelform appliziert (Abb. 2). Anschließend habe ich zunächst eine vierwöchige Tablettenkur initiiert und danach einen erneuten Keimtest durchgeführt. Das Ergebnis war sehr ermutigend (Abb. 3). Ich habe die Tablettenkur fortsetzen lassen (Abb. 4).
Bis heute (mit Unterbrechungen mittlerweile seit drei Jahren) mit gutem Erfolg. Nach der Einnahme der in einer Packung befindlichen 30 Tabletten (für 30 Tage) habe ich jeweils eine Pause einlegen lassen. Wenn sich dann durch unsere Kontrolle bei den regelmäßigen Prophylaxesitzungen herausgestellt hatte, dass sich die Situation wieder verschlechterte, nahm die Patientin die Tabletteneinnahme erneut auf. Der Zeitraum zwischen den Anwendungen des Probiotikums konnte dann schon einmal mehrere Monate betragen. Das ist aber genauso wenig ein Problem wie eine dauerhafte Anwendung.
Mundgeruch: Aber nicht nur bei unseren PA- und Implantat-Patienten ist die Anwendung eines Probiotikums sinnvoll. Auch diejenigen, welche sich wegen bestimmter Erkrankungen einer medikamentösen Therapie unterziehen müssen (zum Beispiel Tumorpatienten, bei denen als Folge einer Chemo eine Xerostomie, also eine Mundtrockenheit entsteht), profitieren.
Halitosispatienten sind Ihnen sicher ebenfalls sehr dankbar, wenn Sie ihnen einen Weg aufzeigen, mit einer „sanften“ Methode die geruchsbildenden Keime in ihrem Mund „wegzulutschen“. Wir wissen, dass die Keimsituation im Mundraum nie statisch ist; häufig erleben wir – vor allem bei Patienten mit einer kompromittierten Immunsituation (in unserem Fall Zustand nach der operativen Entfernung der Schilddrüse wegen eines Tumors) – eine erneute Besiedlung mit pathogenen Keimen. Gut, wenn wir dann eine Therapie haben, die nebenwirkungsfrei ist und bedenkenlos häufiger angewandt werden kann.
Abrechnung: Der Einsatz von ProlacSan ist weder im Bema noch in der GOZ beschrieben. Es eröffnet daher die Möglichkeit einer Privatbehandlung und -abrechnung. Abrechnungshinweise dazu sowie Patientenbroschüren sind bei der Firma Loser erhältlich. Das Gel bestellen Sie bei Ihrem Depot, die Tabletten für die „Kur“ zu Hause kann sich der Patient mit einem Privatrezept, vom Zahnarzt verordnet, in der Apotheke besorgen.
Dr. med. dent. Hans H. Sellmann, Marl
Artikel von: Hans H. Sellmann





