Schutz vor Zahnerosionen: Diese Inhaltsstoffe empfehlen Experten
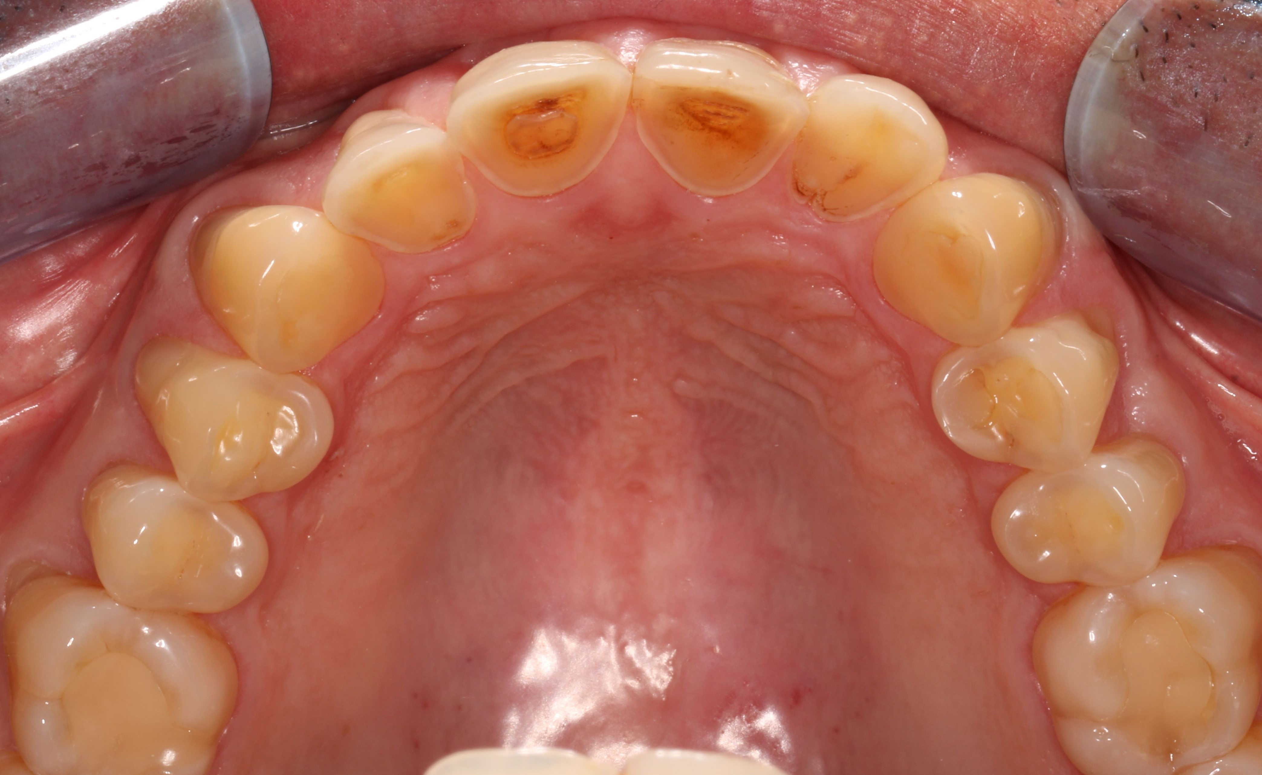
Die Ursachen für die Zahnerkrankung (Abb.1) sind vielfältig und gerade endogene Faktoren nicht einfach abzustellen. Es gibt jedoch Inhaltsstoffe, wie etwa Zinnsalze und Biopolymere, die vor Erosionen schützen und von Experten empfohlen werden.
Erosionsgebiss (© Schlüter/Medizinische
Hochschule Hannover)
Jeder Dritte ist von Zahnhartsubstanzverlust betroffen (1). Dies deckt sich auch mit den Beobachtungen von Prof. Dr. Nadine Schlüter, die an der Klinik für Zahnerhaltungskunde und Parodontologie der Albert-Ludwigs-Universität Freiburg die Ursachen und Therapiekonzepte für Erosionserkrankungen erforscht. Sowohl exogene Faktoren wie der Konsum säurehaltiger Lebensmittel als auch endogene Faktoren wie Reflux und Bulimie können Erosionen hervorrufen, welche die Zahnhartsubstanz irreversibel schädigen. Was viele Patienten nicht wissen: Auch eine gesunde Ernährung mit viel Obst kann die Zahnerkrankung auslösen. „Die meisten Obstsorten sind erosiv, vor allen Dingen Zitrusfrüchte, aber auch beispielsweise eher süße Früchte, wie Beeren“, so Schlüter.
Frühzeitige Erkennung wichtig
Laut der Expertin komme es darauf an, die Zahnerkrankung frühzeitig zu erkennen. Die kausale Therapie, also das Vermeiden der Häufigkeit der Säureangriffe, sei der sinnvollste Schutz. Bei ernährungsbedingten Erosionen lasse sie ihre Patienten ein Ernährungsprotokoll führen und gebe Schutz vor Zahnerosionen: Diese Inhaltsstoffe empfehlen Experten ihnen Tipps. Zum Beispiel müssen säurehaltige, aber gesunde Lebensmittel nicht komplett vermieden werden, diese sollten aber im Ganzen konsumiert werden – und nicht über den Tag verteilt, wie beispielsweise in Form eines in kleine Stückchen geschnittenen Apfels. „Säuren kann man natürlich nicht meiden, wenn es sich um endogen bedingte Erosionen handelt“, so Schlüter. Von Reflux Betroffene sowie Bulimie-Patienten sollten zusammen mit den entsprechenden Fachärzten behandelt werden.
Inhaltsstoffkombination mit anti-erosiver Wirkung
Auf die Frage, welche Inhaltsstoffe vor Erosionen schützen, antwortet Schlüter: „Die Kombination von Zinnionen und Fluoridionen hat sich als besonders effektiv herauskristallisiert. Zinn hat die Möglichkeit, Präzipitate auf der Zahnoberfläche zu bilden, die sehr säureresistent sind, anders als das, was mit Natriumfluorid entsteht – da entstehen hauptsächlich leicht säurelösliche Calciumfluorid-ähnliche Deckschichten.“ Selbst unter Säureeinfluss würden die zinnhaltigen Präzipitate auf der Zahnoberfläche oft noch erhalten bleiben und könnten da durch die darunterliegende Zahnhartsubstanzschicht direkt schützen.
Zum anderen werde Zinn bei gleichzeitigem Säureeinfluss in die oberflächlichen Zahnhartsubstanzschichten inkorporiert. Dies funktioniere besonders gut bei Mundspüllösungen. Schlüters Kollege Dr. Benedikt Luka (Abb. 2), ebenfalls tätig an der Klinik für Zahnerhaltungskunde und Parodontologie der Albert-Ludwigs-Universität Freiburg, weist zudem auf die Wirksamkeit von Polymeren, speziell von Chitosan, beim Schutz vor Erosionen hin. „Das Chitosan ist ein Biopolymer, das durch viele Amino-Gruppen bei niedrigen pH-Werten eine positive Ladung hat. Dadurch kann es sich an negativ geladenen Oberflächen, wie zum Beispiel an den Zahnschmelz oder an das Schmelzoberhäutchen, die Pellikel, anlagern. Ein wirklich großer Vorteil ist außerdem, dass es die anti-erosive W irkung von Zinn in Kombination mit Fluorid verbessern kann – es ist in der Lage, die Zinnablagerung unter bestimmten Bedingungen auf der Zahnoberfläche zu verstärken.“
Literaturverzeichnis:
1. Schlüter N, Luka B. Erosive tooth wear – a review on global prevalence and on its prevalence in risk groups. Br Dent J. 2018;Mar 9;224(5):364–370. doi: 10.1038/sj.bdj.2018.167. Epub 2018 Mar 2

