Der diabetische Patient – von den Grundlagen zur Versorgungsstrategie
Zusammenfassung
Neben der bidirektionalen Beziehung zwischen Diabetes und Parodontitis zeigen Diabetikerinnen und Diabetiker oftmals eine erhöhte Prävalenz von Karies und Mundschleimhauterkrankungen sowie Mundtrockenheit, Missempfindungen und oralen Infektionen. Demnach besteht für diese Personen ein hohes orales Erkrankungsrisiko, welches von der glykämischen Einstellgüte (z. B. gemessen am HbA1c-Wert) abhängig ist. Folglich bedürfen sie einer höheren Aufmerksamkeit in zahnmedizinischer Betreuung und Prävention. Hier sind interdisziplinäre Betreuungsansätze unter Einbindung des gesamten zahnmedizinischen sowie diabetologischen Teams erforderlich. Daneben können Zahnmedizinerinnen und Zahnmediziner auch einen präventiven Beitrag leisten, indem Screeninguntersuchungen auf Diabetes, beispielsweise mittels Fragebögen, in der Zahnarztpraxis umgesetzt werden.
Im Fokus der Therapie stehen außerdem Lebensgewohnheiten, wie Rauchen, wenig Bewegung, Ernährung, Mundhygiene und Compliance, welche sowohl Diabetes als auch die Mundgesundheit negativ beeinflussen. Folglich müssen die Betroffenen selbst im Gesamtkonzept die Schlüsselrolle einnehmen. Unter Berücksichtigung der Patientenperspektive und der Selbstwirksamkeitserwartung sollten realisierbare Etappenziele gesetzt und innerhalb einer soliden therapeutischen Allianz mit den Betroffenen gemeinsam realisiert werden.
verhaltensassoziiert (mod. nach 37).
Einleitung
Kaum eine Erkrankung ist im Kontext der Mundgesundheit so gut untersucht wie der Diabetes mellitus; die Bidirektionalität zwischen Diabetes und Parodontitis wurde hierbei bereits gemeinsam von Vertreterinnen und Vertretern der Parodontologie und Diabetologie diskutiert und beschrieben (1). Ein Blick in die Literatur zeigt jedoch, dass dieses Thema keineswegs ein neues darstellt; die erste PubMed-gelistete Publikation zu diesem Thema aus dem Jahr 1946 beschreibt bereits eine Verbindung zwischen Parodontium und dem Blutzucker in einem experimentellen Diabetesmodell (2). Wenngleich also über die Dekaden eine Vielfalt an Erkenntnissen zum Thema Diabetes und Mundgesundheit entwickelt werden konnten, scheint eine Lösung des Grundproblems noch nicht gefunden.
Hierbei sind einige Aspekte besonders bedeutsam. Einerseits lässt sich der Zusammenhang zwischen Diabetes und Mundhöhle nicht auf Parodontitis reduzieren. Vielmehr existieren bei Diabetes verschiedene orale Besonderheiten. Daneben stellt ein möglicher gemeinsamer Risikokomplex bei den Lebensstil-assoziierten Erkrankungen Karies, Parodontitis und Diabetes einen relevanten Ansatzpunkt dar. Demnach bedarf es einer besonderen Berücksichtigung der Patientenperspektive und möglicher Ansatzpunkte für Verhaltensänderungen.
Vor dem Hintergrund des demografischen Wandels, bei welchem die Zahl der älteren Menschen gleichsam mit der Zahl chronisch Kranker wachsen wird (3), ist das Thema Diabetes und Mundgesundheit zeitgemäß und besonders relevant für die zahnmedizinische Versorgung. Dementsprechend soll dieser Beitrag Implikationen für die zahnärztliche Betreuung von Diabetes-Kranken liefern. Hierbei sollen nochmals kurz Zusammenhänge zwischen Diabetes und oralen Erkrankungen umrissen werden. Der Schwerpunkt des Beitrags liegt jedoch auf möglichen praxisrelevanten Ansätzen, wie Interdisziplinarität, Risikoscreening und Verhaltensänderung.
Krankheitsbild Diabetes
Diabetes mellitus bezeichnet eine Gruppe von Stoffwechselerkrankungen, die alle zu erhöhten Blutzuckerwerten führen, was je nach Ursache des Diabetes durch einen Insulinmangel und/oder eine verringerte Insulinwirkung begründet ist. Klinisch können dabei verschiedene Diabetes-Typen unterschieden werden, für die allesamt das Leitsymptom ein dauerhaft erhöhter Blutglukosespiegel ist. Für die Zahnmedizin stellen der Diabetes Typ 1 und Typ 2 die beiden relevantesten dar. Typ 1-Diabetes entsteht durch eine autoimmune Destruktion der Insulin-produzierenden Zellen im Pankreas, welche zu einem absoluten Insulinmangel und Hyperglykämie führt (4). Bei Typ 2-Diabetes entwickelt sich erst im Verlauf des Lebens eine Insulinresistenz, wobei sich diese meist auf Grundlage von Lebensgewohnheiten (u. a. Übergewicht/Adipositas, Ernährungsweise, mangelnde Bewegung) ergibt (5).
Mundgesundheit und Diabetes – gemeinsamer Risikokomplex
Insbesondere beim Typ 2-Diabetes spielt der Lebensstil eine Schlüsselrolle, was sich in vergleichbarer Weise für orale Erkrankungen wie Karies und Parodontitis beschreiben lässt. Ungesunde Ernährung, Adipositas, erhöhter Alkoholkonsum, Rauchen und verminderte Bewegung sind dabei Risikofaktoren, insbesondere im Zusammenhang mit fortgeschrittenem Lebensalter (6, 7). Folglich nimmt auch die Inzidenz beider Erkrankungen im Lebensverlauf zu, was in immunologischen, metabolischen und mikrobiologischen Veränderungen begründet ist (8). An dieser Stelle muss jedoch festgehalten werden, dass eine Diabeteserkrankung nicht nur ein Altersphänomen darstellt; auch junge Menschen sind von Typ 1- sowie, in selteneren Fällen, von einem Typ 2-Diabetes betroffen. Dies erfordert besondere Aufmerksamkeit in der Praxis, da die Betroffenen oftmals besonders progrediente Verlaufsformen und starke orale
Inflammation aufweisen können. Eine weitere, und für die Praxis hochrelevante, Überschneidung zwischen oralen Erkrankungen und Diabetes (vorrangig Typ 2) sind teilweise eine mangelnde Compliance und/oder Therapie-Adhärenz (9). Übergeordnet ist demnach das (Gesundheits-)Verhalten zu sehen, welches zusätzlich durch Einstellungen determiniert wird, welche wiederum altersassoziiert sind (Abb. 1).
Der Risikokomplex beider Erkrankungen stellt einen bedeutenden Ansatzpunkt für jedwede Interventionsoption dar. Auf diesen Aspekt soll später in diesem Kapitel noch eingegangen werden. Zunächst sollen jedoch noch einige Zusammenhänge zwischen Diabetes und oralen Erkrankungen dargestellt werden.
Parodontitis und Diabetes
Gingivitis und Parodontitis stellen anerkannte Folgeerkrankungen des Diabetes mellitus dar (10). Dabei ist seit längerer Zeit schon ein bidirektionaler Zusammenhang, also eine sich gegenseitig beeinflussende Beziehung, zwischen Parodontitis und Diabetes bekannt (11). Klinisch zeigt sich dabei, dass das Parodontitisrisiko für einen Menschen mit Diabetes gegenüber nicht-diabetischen Individuen um 86 % höher liegt (12). Andererseits erhöht das Vorliegen einer schweren Parodontitis das Risiko für die Entstehung eines Diabetes um 53 % (11). Diabetes ist dabei mit einer schwereren, rascher fortschreitenden parodontalen Inflammation und Destruktion verknüpft, während Parodontitis eine erschwerte glykämische Einstellung des Diabetes zur Folge haben kann (13).
Als laborchemischer Parameter ist der Anteil von glykosiliertem Hämoglobin am Gesamt-Hämoglobin (HbA1c, Normalwert: unter 5,7 %) im Zusammenhang mit Diabetes mellitus am meisten relevant. Bei einem schlecht im Vergleich zum gut eingestellten Diabetes (Schwellenwert: HbA1c = 7 %) ist das Risiko für Parodontitis und Zahnverlust etwa dreimal so hoch (14). Auch die aktuelle S3-Leitlinie zur Behandlung von Parodontitis Stadium I-III empfiehlt daher, die Diabeteskontrolle in der initialen Therapiephase (Therapiestufe 1) sowie der unterstützenden Parodontitistherapie (Therapiestufe 4) einzubeziehen (15). Auch bei der aktuell gültigen Klassifikation parodontaler Erkrankungen wurde der HbA1c als Maß für die glykämische Kontrolle berücksichtigt, wobei folgendes Grading festgelegt wurde: Grad A = normoglykämisch mit oder ohne vorherige Diagnose von Diabetes, Grad B = HbA1c < 7,0 % und Grad C = HbA1c ≥ 7,0 % (16).
Auf der anderen Seite kann eine systematische parodontale Therapie auch die glykämische Einstellgüte positiv beeinflussen; so zeigen verschiedene Übersichtsarbeiten eine potenzielle Verringerung des HbA1c-Wertes um bis zu 0,56 % im Durchschnitt (17). Hierin zeigt sich, dass zahnmedizinische Versorgung und Prävention einen durchaus relevanten Stellenwert in der gesamtmedizinischen Betreuung von Menschen mit Diabetes haben können.
Diabetes und weitere orale
Veränderungen
Während die Bidirektionalität zwischen
Diabetes und Parodontitis bereits vielfach berücksichtigt wird, existieren verschiedene weitere orale Erkrankungsrisiken (Abb. 2). Aufgrund einer Diabetes-assoziierten Polyurie und damit Dehydrierung sowie durch Medikamenteneinfluss tritt verstärkt Mundtrockenheit auf (18). In Verbindung mit einem erhöhten Glukosespiegel im Speichel und dem gehäuften Vorkommen exponierter Wurzeloberflächen infolge Parodontalerkrankungen zeigen Menschen mit Diabetes gehäuft Wurzelkaries (19). Auch wurde das verstärkte Auftreten endodontischer Krankheitsbilder beschrieben (20). Daneben werden Mundschleimhauterkrankungen, Candidainfektionen, Wundheilungsstörungen und lichenoide Veränderungen beschrieben (21). Auch ist Diabetes mellitus potenziell mit Missempfindungen, vorrangig Burning-Mouth-Syndrom sowie Geschmacksirritationen, verbunden (22). Neben parodontalen sind schlussendlich auch periimplantäre Erkrankungen mit der diabetologischen Einstellgüte verknüpft (23). Es zeigt sich also je nach individuellem Patientenfall ein komplexes orales Erkrankungsrisiko und damit die Notwendigkeit für zahnmedizinische Therapie und Prävention.
Risikoprofil bei Diabetes in der zahnärztlichen Praxis
Zur Beschreibung des Risikoprofils von Menschen mit Diabetes müssen Komplikations- und Erkrankungsrisiken bewertet werden (24). Ein Komplikationsrisiko, also die Gefahr eines Gesundheitsschadens (z. B. systemische Infektion) infolge zahnmedizinischer Intervention, besteht bei (langandauernd) schlechter glykämischer Einstellung (HbA1c > 8,0 %). In Bezug auf Erkrankungsrisiken besteht ein erhöhtes Entstehungsrisiko als auch Progressionsrisiko verschiedener oraler Erkrankungen, insbesondere Parodontitis, was ebenfalls von der glykämischen Einstellgüte abhängt (HbA1c > 7,0 %) (24). Wie bereits oben beschrieben bestehen Erkrankungsrisiken vor allem für Karies und/oder Parodontitis. Wichtig ist hierbei jedoch auch immer die Gesamtbetrachtung aller möglichen individueller Risikofaktoren Patienten, was Einfluss auf die Risikobewertung haben kann.
Implikationen für die zahnmedizinische Versorgung bei bestehendem Diabetes
Interdisziplinäre Betreuungsansätze
Die oben beschriebenen Mundgesundheitsrisiken bei Diabetes lassen eine interdisziplinäre Betreuung der betroffenen Menschen durch Zahnärztinnen und -ärzte sowie Allgemeinärztinnen und –ärzte plausibel erscheinen. Allerdings zeigen sich hier aktuell Defizite. Unzureichende Kenntnisse führen dabei oftmals zu einer unzureichenden Aufklärung und Information der Patientinnen und Patienten (25). Somit stellt die beidseitige, also von Seiten der Zahn- und Allgemeinmedizin gerichtete, Patientenaufklärung die Basis einer erfolgreichen interdisziplinären Betreuung dar (26). Daneben ist eine gute und zielgerichtete Kommunikation zwischen den Fachdisziplinen essenziell. Hierbei helfen, neben dem persönlichen Kontakt zu den betreuenden Haus- und Fachärztinnen und -ärzten, beispielsweise auch kurze, klar formulierte Arztbriefe (27). Bedeutsam ist, das gesamte Team von zahnmedizinischer (Zahnärztin/Zahnarzt, Dentalhygienikerin/Dentalhygieniker, Prophylaxefachkraft) sowie von diabetologischer Seite (Hausärztin/-arzt sowie Diabetologin/Diabetologe, Diabetesassistenz, Ernährungsberaterin/-berater) einzubeziehen.
Auf die wesentlichen Elemente der Ausgestaltung und Organisation einer interdisziplinären Zusammenarbeit wurde bereits in einem früheren Beitrag ausführlich eingegangen (28). Bedeutsam erscheint, dass der Impuls zur Zusammenarbeit oftmals vom zahnärztlichen Team ausgehen muss. Dabei ist es wichtig, die Patientinnen und Patienten gut einzubinden, wie später noch im Beitrag gezeigt wird. Arztbriefe sollten, neben dem persönlichen Kontakt, als verbindliches Kommunikationsmedium genutzt werden. Diese sollten dabei Informationen zu vorliegenden oralen Erkrankungen, zahnmedizinische Diagnosen sowie Verdachtsdiagnosen in Bezug auf die Allgemeingesundheit (z. B. Diabetes mellitus) enthalten. Wichtig ist zudem die Bitte um eine schriftliche Rückmeldung, um eine Verbindlichkeit der Interaktion sicherzustellen (28).
Risikoscreening und Früherkennung
Eine hohe Zahl an Diabetes-Fällen ist weder den Betroffenen selbst noch den behandelnden Ärztinnen und Ärzten bekannt, weshalb sich insbesondere zur Früherkennung von Diabetes mellitus ein entsprechendes Risikoscreening anbietet (29). Hierfür ist die zahnärztliche Praxis ausgesprochen gut geeignet. Als Screeninginstrumente sollten hier Fragebögen eingesetzt werden, da diese zeitsparend, non-invasiv und von den Betroffenen gut akzeptiert sind (30). Am besten untersucht und für die Praxis zu empfehlen, ist der Finnish Diabetes Risk Score (FINDRISK) (31). Ab einem FINDRISK-Punktwert von ≥ 12 erscheint in der Zahnarztpraxis eine Zuweisung in die Hausarztpraxis sinnvoll, idealerweise durch einen entsprechenden Arztbrief (30). Hierbei ist es wichtig, im Verdachtsfall einen offenen Austausch mit den behandelnden Haus- bzw. Fachärztinnen/-ärzten zu suchen. Hier sollten Zahnmedizinerinnen und Zahnmediziner proaktiv auf einen möglichen Diabetesverdacht, der sich aus der intraoralen Situation vermuten lässt, eingehen und im Dialog mit den medizinischen Kolleginnen und Kollegen an einer Lösung arbeiten.
Betreuung von Menschen mit Diabetes in der Praxis
Insbesondere bei invasiven Behandlungen mit (hohem) Bakteriämierisiko kann bei schlecht eingestelltem Diabetes (HbA1c über 8 %) das Risiko für systemische Infektionen erhöht sein (32), was in Einzelfällen eine einmalige prätherapeutische Antibiotikaprophylaxe (2 g Amoxicillin, alternativ 600 mg Clindamycin bei Penicillinallergie) erforderlich machen kann (33). Aus parodontologischer bzw. präventivzahnmedizinischer Sicht muss ein HbA1c-abhängiges Nachsorgeintervall berücksichtigt werden: Grad B (HbA1c < 7,0 %) und Grad C (HbA1c ≥ 7,0 %) zwei- beziehungsweise dreimal jährlich (10). Während also bereits bei
einem HbA1c von 7,0 % das Risiko für Parodontitis deutlich erhöht ist, nimmt das Risiko für systemische infektiöse Komplikationen erst ab höheren Werten (> 8,0 %) zu.
Ansonsten kann die Betreuung von Menschen mit Diabetes analog zu Gesunden
erfolgen. Allerdings sollten besonders die oben beschriebenen Mundgesundheitsveränderungen berücksichtigt, frühestmöglich erkannt und entsprechend therapiert werden. Dabei steht besonders die gemeinsame Arbeit mit den Betroffenen im Vordergrund. Diese soll im Folgenden nochmals besonders berücksichtigt werden.
Patientenperspektive und Verhaltensänderung
Die positive Beeinflussung der kausalen oder modulierenden Faktoren für Diabetes und orale Erkrankungen muss als Basis für einen Behandlungserfolg betrachtet werden. Bereits im obenstehenden Unterkapitel zum gemeinsamen Risikokomplex wurde aufgeführt, dass zahlreiche Lebensstil-assoziierte Faktoren, wie Rauchen, Ernährung, Bewegung und Compliance/Adhärenz, von Bedeutung sind. In der Zahnheilkunde wird zwar seit jeher das Thema Verhaltensänderung in besonderer Weise adressiert, jedoch liegen aktuell keine modellbasierten Strategien zur positiven Beeinflussung des (Mund-)Gesundheitsverhaltens bei Menschen mit Diabetes vor.
Wahrnehmungsverschiebung bei chronisch Erkrankten – der Response shift
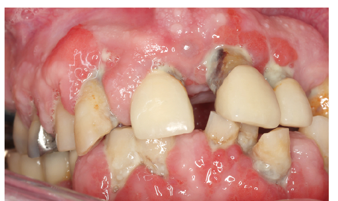
Menschen mit Diabetes sind chronisch krank, oftmals mehrfach mediziert, haben Komorbiditäten und sind dadurch, wie viele andere Risikopatientengruppen, in einer festen Rolle („chronisch krank“). Dabei geraten bei chronisch Allgemeinerkrankten oftmals mundgesundheitsbezogene Themen nicht nur in den Hintergrund, sondern werden vielmehr auch als nicht mehr relevant empfunden. Dieser Prozess verläuft langsam und kann als Response shift beschrieben werden (34). Demnach besteht in der Patientenperspektive nicht nur oftmals kein Handlungsdruck für einen Besuch in der Zahnarztpraxis, sondern auch kein subjektiver Mehrgewinn einer zahnmedizinischen Betreuung. Dies wird insbesondere dadurch erschwert, als dass oftmals auch ein „negatives Feedback“ durch das zahnmedizinische Team erfolgt (Änderung der Mundhygienemaßnahmen erforderlich – Mehrbelastung des Betroffenen – Verstärkung des Response shift/Reaktanz, Abb. 3). Im Extremfall kann der Response shift zum völligen Neglect in Bezug auf die Mundgesundheit führen, wie der Fall in Abbildung 4 illustriert.
Selbstwirksamkeitserwartung – ein Ansatzpunkt für Verhaltensänderung
Ein entscheidender Ansatzpunkt, um diese Patientinnen und Patienten zu erreichen, ist die Selbstwirksamkeitserwartung. Diese geht auf die sozial-kognitive Theorie Banduras zurück und beschreibt die Überzeugung davon, dass die Umsetzung eines entsprechenden Verhaltens gelingen kann (35). Es ist hierbei bereits beschrieben, dass die Selbstwirksamkeitserwartung von Betroffenen oftmals gering und nur schwer zu beeinflussen ist (36). Dies liegt, wie oben bereits angerissen, daran, dass sich chronisch Kranke oftmals „fremdgesteuert“ fühlen und schrittweise die Eigenverantwortlichkeit für ihr Gesundheitsverhalten abgeben/abgegeben haben. Betrachtet man nunmehr Parameter, welche die Selbstwirksamkeitserwartung beeinflussen können, stellt die erfolgreiche Umsetzung eines Verhaltens den stärksten Prädiktor dar. Externe Motivationsversuche sind dagegen nur ein sehr schwacher Einflussfaktor (35). Demnach scheint das Prinzip der „Motivierung, Instruktion und Information“ aus der Zahnmedizin hier wenig effektiv.
Implikationen für die Betreuung von Menschen mit Diabetes in der Zahnarztpraxis
Aus den beschriebenen Hintergründen
ergeben sich potenzielle Strategien zur
Beeinflussung gemeinsamer Risikofaktoren von oralen Erkrankungen und Diabetes mellitus. Zum einen ist es ratsam, die Patientenperspektive zu erfassen und als Grundlage für ein Patientengespräch zu nutzen, wobei den Patientinnen und Patienten das Missverhältnis aus wahrgenommenem und vorliegendem Bedarf visualisiert werden sollte. Daneben sollten, zur Steigerung der Selbstwirksamkeitserwartung, kleine, kurzfristige und gut erreichbare Ziele gesetzt werden, damit die Betroffenen auf ihre eigenen Erfolge aufbauen können. Misserfolge durch zu ambitionierte Ziele (z. B. komplette Änderung des Mundhygieneverhaltens auf einmal) sollten dagegen vermieden werden. Wichtig erscheint hierbei, die therapeutische Allianz gemeinsam mit den Patientinnen und
Patienten zu stärken und die positive Verhaltensveränderung als gemeinsame Aufgabe zu verstehen und zu kommunizieren (Abb. 5).
Zusammenfassung und Schlussfolgerungen
Der vorliegende Beitrag beschreibt Zusammenhänge zwischen Diabetes und Mundgesundheit. Diese gehen weit über die
Bidirektionalität zwischen Diabetes und
Parodontitis hinaus und beinhalten zusätzlich Risiken für Karies, Mundtrockenheit, Mundschleimhautveränderungen und Missempfindungen im oralen Bereich. Demnach bedarf es umfassender Therapie- und Präventionsstrategien. Wichtigster Diabetes-assoziierter Parameter für die zahnmedizinische Versorgung bleibt hierbei nach wie vor die glykämische Einstellgüte der Betroffenen (HbA1c). Wichtige Ziele bei der Versorgung von Diabeteskranken aus zahnmedizinischer Sicht sind die Interdisziplinarität unter Berücksichtigung der vollständigen zahnmedizinischen und allgemeinmedizinischen Teams und eine mögliche fragebogenbasierte Diabetesfrüherkennung in der Zahnarztpraxis.
Essenziell für die Arbeit mit Menschen mit Diabetes, wie auch mit anderen chronisch Kranken, ist die Patientenperspektive. Durch eine verständnisvolle Arbeitsweise, eine gute therapeutische Allianz und das Formulieren von kleinen, für den Betroffenen erreichbaren Zielen kann hier die Chance auf einen Therapieerfolg erhöht werden.
Die Betreuung von Menschen mit Diabetes in der zahnärztlichen Praxis bleibt ein relevantes Thema und bedarf der kontinuierlichen Auseinandersetzung mit aktuellen Konzepten und Strategien.

