Mundgesundheit und mundgesundheitsbezogene Lebensqualität bei Patienten mit Fazialisparese
Zusammenfassung
Die Fazialisparese ist die häufigste Hirnnervenläsion, die zu einer teilweisen oder vollständigen Unbeweglichkeit der betroffenen Gesichtshälfte führt. Die verminderte Beweglichkeit der vom Nervus facialis
innervierten Muskulatur trägt dazu bei, dass Speisereste auf den Zahnoberflächen oder Interdentalräumen nicht ausreichend durch natürliche Selbstreinigungsmechanismen wie gezielte Muskelbewegungen der Wange oder Speichel entfernt werden können. Folglich verbleibt mehr Biofilm in prädisponierten Bereichen der Mundhöhle. Außerdem ist bei den Patienten die Mundpflege beeinträchtigt. Dies kann neben der reduzierten Wangenbeweglichkeit zusätzlich durch Missempfindungen auf der paretischen Seite hervorgerufen werden. So entsteht zusätzlich durch das Vermeiden der Mundpflege mehr Biofilm. Durch die erhöhte Bildung von Plaque sowie einer Verschlechterung der Mundhygiene wird das Risiko für Karies und orale Infektionen erhöht. Damit steigt auch das Risiko für Allgemeinerkrankungen wie Gastritis, Apoplex, koronare Herzkrankheit oder Diabetes mellitus.
Die Mundgesundheit von Patienten mit
Fazialisparese wurde bisher nur in sehr wenigen Studien untersucht. Diese lieferten erste Hinweise darauf, dass bei dieser Patientengruppe die Mundgesundheit eingeschränkt sein könnte.
Ziel der interdisziplinären Studie war es,
die Mundgesundheit, Mundhygiene und mundgesundheitsbezogene Lebensqualität bei Patienten mit unilateraler peripherer Fazialisparese zu erfassen sowie Einflussfaktoren auf die Mundgesundheit zu analysieren. Die Notwendigkeit einer zahnärztlichen Betreuung sollte beurteilt und bedarfsgerechte Therapieempfehlungen sollten abgeleitet werden.
Dazu wurden eine Fall- und eine Kontrollgruppe (FG; KG), bestehend aus jeweils 43 Studienteilnehmern (jeweils 29 weiblich pro Gruppe; medianes Alter pro Gruppe 51,0 Jahre), gebildet. Die FG bestand aus Patienten mit unilateraler chronischer peripherer Fazialisparese, die durchschnittlich 24 Monate (Min: 6 Monate; Max: 64,8 Jahre bei angeborener Fazialisparese) bestand. Zur KG zählten Patienten ohne diagnostizierte Fazialisparese. Beide Gruppen wurden aus den ambulanten und stationären Bereichen der HNO-Klinik des Universitätsklinikums Jena rekrutiert und waren entsprechend Alter und Geschlecht vergleichbar. Patienten, bei denen Begleiterkrankungen vorlagen, die eine Beeinträchtigung der oralen Gesundheit vermuten ließen, wurden nicht eingeschlossen.
Die Mundgesundheit aller Studienteilnehmer wurde in einer oralen Untersuchung anhand verschiedener etablierter Mundgesundheitsparameter bestimmt. Als primäres Kriterium für die Beurteilung der Mundgesundheit diente die Einschätzung der parodontalen Gesundheit, die mit Hilfe des Parodontalen-Screening-Index erfasst wurde. Mithilfe standardisierter Indizes (Parodontal Screening Index, Sulkus-Blutungs-Index, Papillen-Blutungs-Index, Approximalraum-Plaque-Index, Turesky-Index, Decayed-Missing-Filled-Teeth-Index) wurden der Karies- und Plaquebefall, die Sulkusblutung sowie der Lockerungsgrad der Zähne und vorhandene Restaurationen beurteilt. Das Mundhygieneverhalten sowie die mundgesundheitsbezogene Lebensqualität wurden durch Befragung ermittelt.
Die Auswertung der erhobenen Daten zeigte einen signifikant höheren Plaquebefall, signifikant mehr entzündliche Parodontalerkrankungen sowie eine höhere Kariesprävalenz der paretischen im Vergleich zur nicht paretischen Seite der Patienten mit Fazialisparese. Darüber hinaus war die Mundgesundheit der FG deutlich schlechter als die der KG. Im Median wies sie um 14,3 %
(p = 0,014) mehr approximalen Biofilm auf, eine um 20,8 % (p = 0,002) höhere Sulkusblutung und mehr als doppelt so viel unbehandelte Karies (1,3 DT vs. 0,5 DT; p = 0,024). Patienten mit Fazialisparese benutzten die elektrische Zahnbürste und weitere Mundpflegehilfsmittel seltener als die KG, putzten häufiger unsystematisch und beschrieben stärkere Einschränkung der mundgesundheitsbezogenen Lebensqualität.
Anhand der Ergebnisse der vorliegenden Studie wird deutlich, dass Patienten mit Fazialisparese eine Risikogruppe für orale Erkrankungen der Zähne und des Parodonts darstellen. Daraus schlussfolgern wir, Patienten mit akuter Fazialisparese, spätestens aber, wenn abzusehen ist, dass es zu keiner vollständigen Erholung kommt, eine intensivprophylaktische zahnärztliche Betreuung sowie gezielte Mundhygieneinstruktionen anzubieten, um die doppelte Krankheitslast durch die Defektheilung einerseits und mögliche orale Defizite andererseits zu reduzieren. Darüber hinaus befürworten wir, das zahnärztliche Personal in das interdisziplinäre Therapiekonzept im Rahmen der Behandlung von Patienten mit Fazialisparese einzubeziehen und alle an der Therapie beteiligten Kollegen auf orale Defizite zu sensibilisieren.
Einleitung
Der Begriff Fazialisparese (FP) besteht zum einem aus dem bei der Erkrankung betroffenen Nerv – dem Nervus facialis – und zum anderen aus der Art der Erkrankung – einer Parese. Der Nervus facialis ist der 7. Hirnnerv und versorgt Strukturen des Kopf-Hals-Bereiches (1) wie die mimische Gesichtsmuskulatur und die Geschmacks- und Speicheldrüsen (2). Der Begriff Parese bezeichnet eigentlich eine inkomplette Lähmung der mimischen Gesichtsmuskulatur mit eingeschränkter Muskelfunktion und muss von dem Begriff Paralyse, der eine komplette Muskellähmung beschreibt, abgegrenzt werden (3).
Beim “Zähnezeigen” kann der Mundwinkel auf der paretischen Seite nicht gehoben werden, es entsteht kein Bukkalkorridor (Abb. 1a), ebenso eingeschränkte Beweglichkeit der Muskulatur im Mundbereich der paretischen Seite beim “Mund spitzen” (Abb. 1b), auch bei der Aufforderung “Mundwinkel nach unten ziehen” ist keine entsprechende Bewegung des Mundwinkels der paretischen Seite ersichtlich (Abb. 1c)
Er wird aber auch häufig als Oberbegriff sowohl für die komplette als auch für die inkomplette Lähmung verwendet. Durch den komplexen Verlauf des Nervs besteht an zahlreichen Lokalisationen des Kopf-Hals-Bereiches ein hohes Schädigungsrisiko (4), weswegen die Fazialisparese als häufigste Hirnnervenläsion (5) mit einer Inzidenz von bis zu 30/100.000 (6) gilt. Eine FP kann durch eine Vielzahl von Gründen verursacht werden (7). Am häufigsten tritt sie allerdings ohne nachweisbare Ursache auf, was als idiopathische FP oder Bell-Parese bezeichnet werden kann (8). Als prädisponierende Faktoren gelten Diabetes mellitus und eine Schwangerschaft im 3. Trimenon (9). Eine idiopathische FP wird bei Ausschluss aller möglichen Ursachen diagnostiziert (3). Die zweithäufigste Ursache einer FP stellt das Trauma dar (10). Dabei spielen Frakturen des Schläfenbeins, scharfe oder stumpfe Gesichtstraumata, OP-Traumata bei Tumorresektionen sowie Geburtstraumata bei Zangengeburten (10) eine wesentliche Rolle. Die dritthäufigste Ursache einer FP ist eine Entzündung im Bereich des Ohres (10), die beispielsweise im Rahmen einer akuten oder chronischen Otitis media auftritt.
Daneben treten virale Infektionen mit Herpes Zoster- oder Coxsackie-Viren sowie Borreliose-Erkrankungen als Ursache der FP auf (3).
Nach dem Ort der Läsion wird die FP in periphere und zentrale FP eingeteilt. Erstere entsteht durch komplette oder inkomplette Schädigung der motorischen Fasern des Nucleus nervus facialis und betrifft die gesamte ipsilaterale Gesichtshälfte (11); (Abb. 1a-c). Letztere entsteht infolge einer Läsion innerhalb der kortikonukleären Bahn und tritt kontralateral zum Schädigungsort ohne die Beteiligung der Stirnmuskulatur auf (11).
Nach der Dauer der Schädigung wird eine chronische von einer akuten FP differenziert. Als Übergang wird ein Zeitraum von drei bis sechs Monaten definiert. Das Hauptsymptom der akuten Parese ist die schlaffe, einseitige Unbeweglichkeit der Gesichtsmuskeln (4). In mindestens 30 % der akuten Fälle kommt es zu keiner vollständigen Heilung. Stattdessen wird eine fehlerhafte Reinnervation mit erhöhter und fehlkoordinierter Muskelaktivität beobachtet (12). Man spricht dabei von einem postparalytischen fazialen Syndrom. Das eindrücklichste Symptom dieses Syndroms sind Synkinesien, also die pathologischen Mitbewegungen verschiedener physiologisch getrennter Muskeln. So beschreiben zum Beispiel oro-oculäre Synkinesien eine Mitbewegung der M. orbicularis oculi bei Mundbewegungen (13).
Die Muskelspannung im Wangenmuskel fehlt, ist zu hoch oder nach fehlerhafter Reinnervation unkoordiniert, was zu Bissverletzungen im Wangenbereich des Patienten führen kann. Zudem besteht die Gefahr, dass bei fehlender oder falscher Aktivität im Wangenbereich nach der Nahrungsaufnahme Speisereste in der Wangentasche verbleiben, was Entzündungen der Schleimhaut (14) und die Demineralisation der Zahnhartsubstanz fördert. Im Bereich der Lippenmuskulatur führt die schlaffe Lähmung der Gesichtsmuskulatur vor allem in der akuten Phase dazu, dass der Mundwinkel auf der betroffenen Seite herabhängt. Innerhalb der synkinetischen Defektheilung kann es allerdings auch dazu kommen, dass der Mundwinkel nach oben gezogen wird. In beiden Situationen wird ein vollständiger Lippenschluss verhindert und die Patienten können beispielsweise beim Trinken die Flüssigkeit nicht im Mund halten (4). Eine frühere Studie (15), die eine quantitative Bewertung der Mundfunktion in der Akut- und Erholungsphase der idiopathischen Gesichtslähmung umfasste, lieferte einen ersten Hinweis darauf, dass eine periphere Gesichtslähmung die Mundhygiene beeinträchtigt und orale Erkrankungen fördern kann.
Aufgrund der fehlenden Evidenz blieb bislang die Frage offen, wie sich die Mundhygiene bei Patienten mit Fazialisparese
genau darstellt, ob sich Defizite in der Mundgesundheit durch die erschwerten Bedingungen der Mundpflege bemerkbar machen und ob diese mit der Dauer der Erkrankung korrelieren. Ebenso blieb unbekannt, ob Unterschiede in der Mundgesundheit zwischen der paretischen und nicht-paretischen Seite erfasst werden können und ob dabei die Händigkeit der betroffenen Patienten Einfluss nimmt. Diese Fragen sollten mithilfe unserer Studie beantwortet werden. Ein weiterer Grund für die Durchführung der Studie war die Tatsache, dass Patienten mit Fazialisparese idealerweise ein breites Spektrum an therapeutischen Maßnahmen angeboten wird: Logopädie, Physiotherapie, Ergotherapie, medikamentöse und teilweise chirurgische Behandlung sowie psychologische Betreuung. Darüber hinaus wird dem Augenschutz große Bedeutung beigemessen (16). Die Mundgesundheit wurde bisher allerdings nicht als Teil der präventiven und therapeutischen Versorgungsstrategie berücksichtigt.
Vergleich der Mundgesundheit
zwischen Patienten mit und ohne
Fazialisparese
Zum Vergleich der Mundgesundheit von Patienten mit und ohne Fazialisparese wurden im Fazialis-Nerv-Zentrum des Universitätsklinikums Jena insgesamt 43 Patienten mit unilateraler peripherer Fazialisparese sowie 43 Kontrollpatienten ohne jemals diagnostizierte Fazialisparese konsekutiv rekrutiert. Beide Gruppen waren anhand des Alters (Altersspanne von 5 Jahren) und des Geschlechts (pro Gruppe jeweils 29 weibliche und 14 männliche Studienteilnehmer) vergleichbar. Die Dauer der Fazialisparese reichte innerhalb der Fallgruppe von 6 Monaten bis zu 64,8 Jahren (angeborene Fazialisparese). Die mittlere Erkrankungsdauer in Monaten lag bei 74,58 (SD 137,71; Tab 1). Dabei hatte die Dauer der Parese allerdings keinen wesentlichen Einfluss auf die Mundgesundheit oder mundgesundheitsbezogene Lebensqualität. Nur die wahrgenommenen Einschränkungen in der krankheitsbezogenen Lebensqualität nahmen mit längerer Krankheitsdauer ab. Vielmehr beeinflusste die Häufigkeit der Anwendung verschiedener Mundpflegeartikel oder die Putztechnik die Mundgesundheit der betroffenen Patienten. Ursächlich für die Fazialisparese waren bei 37,2 % (n = 16) der Patienten chirurgisch entfernte gutartige Tumore (vestibuläre Schwannome), bei 18,6 % (n = 8) der Patienten virale Erkrankungen und bei 4,7 % (n = 2) der Patienten ein Trauma. Bei 15 Patienten (34,9 %) trat die Fazialisparese idiopathisch und bei zwei (4,7 %) Patienten kongenital auf (s. Tab. 1).
Die intraorale Untersuchung fand ohne vorheriges Zähneputzen statt. Zahnlose, multimorbide Patienten sowie Patienten mit Diabetes mellitus Typ 1 und 2, Hämophilie A und B, Epilepsie und AIDS wurden von der Studie ausgeschlossen. Vor der klinischen Studie wurde eine theoretische sowie praktische Kalibrierungsschulung des untersuchenden Zahnarztes (L. S.) unter der Aufsicht eines klinisch und epidemiologisch erfahrenen Zahnarztes (I. M. S.) für den Decayed-Missing-Filled-Teeth-Index (DMFT) und den Turesky-Index anhand von Fotos durchgeführt. Als primäres Kriterium zur Beurteilung der Mundgesundheit galt die parodontale Gesundheit, die anhand des Parodontalen Screening-Index (PSI; 17) analysiert wurde. Dabei wurden zwar keine signifikanten Unterschiede zwischen Patienten mit und ohne Fazialisparese festgestellt (Tab. 2), allerdings traten zwischen beiden Studiengruppen signifikante Unterschiede im Vergleich weiterer Mundgesundheitsparameter auf, die als Risikoparameter für die Entwicklung von Parodontitiden gelten. Sichtbar wurde dies in Hinblick auf die Plaque-Kontamination und die Gingivablutung. Erstere war bei den Patienten mit Fazialisparese signifikant höher als bei den Kontrollpatienten (s. Tab. 2). Blutungen als klinisches Zeichen einer Zahnfleischentzündung wurden bei den Patienten mit Fazialisparese ebenfalls signifikant häufiger beobachtet als bei den Kontrollpatienten (s. Tab. 2). Ein weiterer Unterschied zwischen beiden Studiengruppen wurde in Hinblick auf die Prävalenz unbehandelter Karies
(s. Tab. 2) eruiert, welche in der Gruppe der Patienten mit Fazialisparese mehr als doppelt so häufig diagnostiziert wurde als bei den Kontrollpatienten (1,3 DT vs. 0,5 DT;
p = 0,024). Lediglich der Zahnsteinbefall wies zwischen den beiden Gruppen keinen signifikanten Unterschied auf.
Vergleich der Mundgesundheit der
paretischen und nicht paretischen Mundhälfte
Innerhalb der Gruppe der Patienten mit Fazialisparese wurde außerdem ein Vergleich der Mundgesundheit zwischen beiden Mundhälften durchgeführt. Dabei wies die paretische Seite eine signifikant höhere Plaque-Kontamination, mehr Blutungen und höhere PSI-Werte auf als die nicht paretische Seite (Tab. 3).
** für multiples Testen korrigiert nach Bonferroni
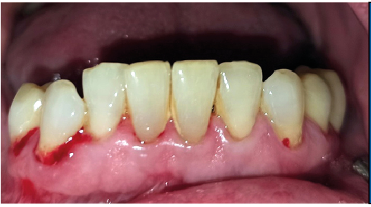
Deutlich mehr approximaler und vestibulärer Biofilm auf der paretischen Mundhälfte (2. Quadrant, Abb. 2b) als auf der nicht paretischen Seite
(1. Quadrant, Abb. 2a)
Wilcoxon-Tests hinsichtlich der Mundgesundheitsparameter, Anzahl der Zähne mit Zahnstein, approximaler Plaqueindex (API), Turesky-Index (TI), Sulkus-Blutungs-Index (SBI), Papillenblutungsindex (PBI), parodontaler Screening-Index (PSI Median), Anzahl unbehandelter kariöser Zähne (kariöse Zähne; DT des DMFT), Anzahl der fehlenden Zähne (missing teeth;
MT des DMFT) sowie Anzahl der restaurierten Zähne (filled teeth; FT des DMFT), Angaben mittels Median und Interquartilsbereich (IQR) oder Mittelwert (x) und Standardabweichung (SD) sowie Minimum und Maximum [Min; Max]
** für multiples Testen korrigiert nach Bonferroni
Deutlich mehir Sulkusblutung nach Sondierung auf der paretischen
Seite (4. Quadrant) als auf der nicht peretischen Seite (3. Quadrant)
Deutlich stärkere Entzündung der Interdentalpapillen und folglich größere Werte des PBI auf der paretischen Seite (3. Quadrant, Abb. 4b) als auf der nicht paretischen Seite (4. Quadrant, Abb. 4a)
Deutlich stärkere Schmelzdemineralisationen, White spots und Zahnhalskaries auf der paretischen Seite (2. Quadrant, Abb. 5b) als auf der nicht paretischen Seite (1. Quadrant, Abb. 5a)
Deutlich stärkere palatinale Zahnverfärbungen und Zahnsteinablagerungen auf der paretischen Seite (2. Quadrant, Abb. 6b) als auf der nicht paretischen Seite (1. Quadrant, 6a)
Die Plaque-Kontamination war in Bezug auf den API auf der paretischen Seite um 10,9 % (p = 0,004) höher als auf der nicht paretischen Seite. Ebenso wiesen die vestibulären Zahnoberflächen der paretischen Seite mehr Biofilm auf als die der nicht paretischen Seite (p = 0,002; s. Tab. 3, Abb. 2a und b). Dabei war der Unterschied bei den männlichen Patienten (0,8 vs. 0,5; p = 0,001) größer als bei den weiblichen Patienten (0,6 vs. 0,4; p = 0,002). Außerdem wurde bei Patienten mit rechtsseitiger Fazialisparese ein größerer Seitenunterschied (0,7 vs. 0,5; p < 0,001) dokumentiert als bei Patienten mit linksseitiger Fazialisparese (0,5 vs. 0,4; p = 0,043). Ursächlich erschien die Händigkeit der Patienten. Während bei Patienten mit linksseitiger Fazialisparese die Erkrankung auf der für Rechtshänder besser zu reinigenden Mundhälfte vorlag, waren rechtshändige Patienten mit rechtsseitiger Fazialisparese einer doppelten Belastung ausgesetzt (18). Die Gingivablutung nach Sondierung war auf der paretischen Seite ebenfalls signifikant höher als auf der nicht paretischen Seite (s. Tab. 3). Das spiegelte sich sowohl bei den Werten des SBI (s. Tab. 3, Abb. 3) als auch bei den Werten des PBI (s. Tab. 3, Abb. 4a und b) wider. Die Sondierungstiefen waren auf der paretischen Seite im Vergleich zur nicht paretischen Seite tiefer und der Attachmentverlust war höher. Dabei konnte jedoch kein signifikanter Unterschied nachgewiesen werden. Der mittlere PSI erreichte auf der paretischen Seite signifikant höhere Werte als auf der nicht paretischen Seite
(p = 0,032; s. Tab. 3), was auf eine schlechtere Gingivagesundheit hinweist. Darüber hinaus war die Prävalenz unbehandelter kariöser Läsionen auf der paretischen Seite höher als auf der nicht paretischen Seite
(s. Tab. 3). Ein Fallbeispiel illustriert eindrucksvoll die Unterschiede zwischen der kariesfreien nicht paretischen Seite und der paretischen Seite mit multiplen aktiv kariösen Läsionen (Abb. 5a und b). Zusätzlich wies die paretische Seite eine höhere Anzahl an Restaurationen auf als die nicht paretische Seite (s. Tab. 3). Hinsichtlich des Zahnsteinbefalls wurden auch im Seitenvergleich der Mundhälften keine signifikanten Unterschiede zwischen den paretischen und den nicht paretischen Seiten festgestellt. Im Einzelfall wurden jedoch eindrucksvolle Unterschiede zwischen beiden Mundhälften deutlich (Abb. 6a und b).
Selbsteinschätzung der Mund-
hygiene und des Mundhygieneverhaltens der Patienten mit
Fazialisparese
Die Daten zum individuellen Mundhygieneverhalten wurden per speziell entwickelten Fragebogen im Interview erhoben. Innerhalb der Patienten mit Fazialisparese behielten 62,8 % (n = 27) ihre gewohnten Putztechniken bei, nachdem sie von der Fazialisparese betroffen waren, während nur 20,9 % (n = 9) ihre Mundhygienefrequenz erhöhten. Aufgrund subjektiv empfundener Einschränkungen bei der Mundhygiene verzichteten 14,0 % (n = 6) der Patienten auf die Verwendung von Zahnseide und Mundspüllösungen. Darüber hinaus berichteten die Patienten, dass sie aufgrund einer veränderten Empfindlichkeit bei der Anwendung von elektrischen Zahnbürsten (sowohl rotierend-oszillierende elektrische Zahnbürsten als auch Schallzahnbürsten) zu Handzahnbürsten wechselten. Mehr als die Hälfte der Patienten (55,8 %) war der Ansicht, dass sie auf der paretischen Seite keine intensivere Mundhygiene betreiben müssten. Nach Beginn der Fazialisparese beobachteten 18,6 % (n = 8) der Patienten häufigeres Zahnfleischbluten und 14,0 % (n = 6) eine erhöhte Zahnempfindlichkeit. Seit dem Auftreten der Parese bemerkten 11,7 % (n = 5) eine verstärkte Gingivarezession und 9,3 % (n = 4) eine erhöhte Zahnbeweglichkeit. Darüber hinaus klagten 55,8 % (n = 24) der Patienten über häufiges Wangenbeißen, 79,1 % (n = 34) über häufige Speisereste in der Wangentasche und 76,7 % (n = 33) über Flüssigkeitsverlust durch den gelähmten Mundwinkel.
Mundgesundheitsbezogene Lebensqualität und einflussnehmende Faktoren
Ein weiteres Ziel unserer Studie verfolgte die Beurteilung der mundgesundheitsbezogenen Lebensqualität der Patienten mit Fazialisparese. Zur Erfassung diente der validierte OHIP-G14-Fragebogen (19). Patienten mit Fazialisparese zeigten eine deutlich stärkere Beeinträchtigung der mundgesundheitsbezogenen Lebensqualität als die Kontrollpatienten. Die mediane Summe der einzelnen Antworten betrug 13,0 für die Gruppe der Patienten und 1,0 für die Kontrollpatienten. In beiden Gruppen wiesen die Männer eine weniger eingeschränkte mundgesundheitsbezogene Lebensqualität auf als die Frauen. Bei den Patienten mit Fazialisparese war dabei der Unterschied zwischen Männern und Frauen größer als bei den Kontrollpatienten. Allerdings war der Unterschied zwischen den Geschlechtern in beiden Gruppen nicht signifikant. Bei den Patienten mit Fazialisparese traten die größten Einschränkungen in den Bereichen „psychische Beschwerden“ und „psychologische Behinderung“ gefolgt von „funktioneller Beeinträchtigung“ auf. Innerhalb der Subskalen gaben Frauen höhere Einschränkungen an als Männer. Innerhalb der FG nahmen das Geschlecht, die Anzahl kariöser und restaurierter Zähne sowie der DMFT-Index signifikant Einfluss auf die mundgesundheitsbezogene Lebensqualität. Frauen mit Fazialisparese berichteten über eine höhere Einschränkung der mundgesundheitsbezogenen Lebensqualität als Frauen in der KG. Patientenbezogene Faktoren wie die krankheitsbezogene Lebensqualität, Ätiologie der Erkrankung und Seite der Parese wurden zusammen mit der mundgesundheitsbezogenen Lebensqualität in eine bivariate Korrelationsanalyse nach Spearman einbezogen und durch eine Effektgrößenberechnung (Cohen‘s d) ergänzt. Die stärkste Effektgröße zeigte die krankheitsbezogene Lebensqualität auf die mundgesundheitsbezogene Lebensqualität. Je geringer die krankheitsbedingte Lebensqualität bewertet wurde, über desto mehr Beeinträchtigungen wurde auch bei der mundgesundheitsbezogenen Lebensqualität berichtet. Darüber hinaus korrelierte das Fehlen von Zähnen auf der paretischen Seite signifikant mit der mundgesundheitsbezogenen Lebensqualität, wobei die Effektgröße im mittleren Bereich lag. Die Dauer der Lähmung korrelierte nicht mit der Beeinträchtigung der Lebensqualität. Signifikant korrelierende Faktoren wurden weiter in eine lineare Regressionsanalyse einbezogen. Der starke Einfluss der krankheitsbezogenen auf die mundgesundheitsbezogenen Lebensqualität blieb signifikant (R = -0,193; p = 0,061).
Weitere Einflussfaktoren auf die Mundgesundheit, wie die Häufigkeit der Verwendung bestimmter Mundpflegehilfsmittel oder die angewandte Putztechnik, wurden ebenfalls mit einer bivariaten Korrelationsanalyse nach Spearman untersucht. Die Verwendung von elektrischen Zahnbürsten führte zu signifikant weniger Zahn
stein und Plaque. Die häufigere Verwendung von Zahnseide war mit einer geringeren approximalen und allgemeinen Plaque-Kontamination und einer besseren parodontalen Gesundheit verbunden. Die Verwendung von Interdentalbürsten hatte keinen signifikanten Einfluss auf Plaque und Mundgesundheit. Unsystematisches Zähneputzen förderte das Zahnfleischbluten. Eine höhere Prävalenz unbehandelter kariöser Läsionen und eine geringere parodontale Gesundheit wurden mit dem Rauchen in Verbindung gebracht. Patienten, die berichteten, dass sie keine Flüssigkeit über den hängenden Mundwinkel der paretischen Seite verloren, hatten mehr Zahnstein als Patienten, die über häufigen Flüssigkeitsaustritt berichteten. Patienten, die in den Wangentaschen verbleibende Speisereste feststellten, wiesen eine signifikant niedrigere approximale Plaque, aber eine signifikant höhere DMFT und mehr restaurierte Zähne auf. Patienten, die sich weniger attraktiv fühlten, hatten mehr restaurierte oder fehlende Zähne. Patienten, die ihre eigene Mundhygiene als schlecht einschätzten, hatten mehr Zahnbelag. In einer multivariaten linearen Regressionsanalyse erwiesen sich die Verwendung einer elektrischen Zahnbürste (p = 0,003) und der Flüssigkeitsverlust (p = 0,001) auf Zahnstein, der Einfluss von unsystematischem Zähneputzen auf den SBI (p = 0,010) sowie die Interaktion zwischen kariösen Läsionen und Rauchverhalten (p = 0,007) als signifikant.
Präventionsvorschläge und
Ratschläge für Patienten
Um ein ganzheitliches Therapiekonzept für Patienten mit Fazialisparese zu schaffen, empfehlen wir die Einbeziehung des
gesamten zahnärztlichen Personals in das interdisziplinäre Team. Nach der Diagnose sollten die Patienten zunächst alle drei
Monate die zahnärztliche Praxis aufsuchen, um eine intensive Prophylaxe, eine professionelle Zahnreinigung, gezielte Mundhygieneinstruktionen und ein individuelles Mundhygienetraining in Anspruch nehmen zu können. Außerdem ist es wichtig, die Patienten auf orale Defizite aufmerksam zu machen, sie über deren Entstehung und Folgen aufzuklären und sie zu motivieren, sich auf die Zahn- und Mundpflege zu konzentrieren. Besonderes Augenmerk sollte auf ein gezieltes Muskeltraining und eine spezielle Muskelmassage vor und nach dem Zähneputzen gelegt werden, denn die meisten Patienten mit Synkinesien haben eine sehr steife Wange und folglich zu wenig Platz für die Zahnbürste im Raum zwischen Zahnreihe und Wange. Durch eine gezielte vorangehende Massage können die Patienten die Muskeln entspannen und für genügend Platz im Mund für Zahnpflegehilfsmittel sorgen. Die Patienten können zum Beispiel ihre Wangen dehnen, lockern und aufblasen oder die Vibration der elektrischen Zahnbürste zur Massage der Muskeln nutzen. Um die Übungen korrekt durchführen zu können, empfiehlt es sich, einen spezialisierten Gesichtstherapeuten aus Logopädie, Physiotherapie oder Ergotherapie zu konsultieren. Den Patienten sollte geraten werden, die paretische Seite nicht zu schonen, eine systematische Putzroutine anzuwenden und die Zähne nach jeder Mahlzeit und vor dem Schlafengehen zu putzen.
Schlussfolgerungen
Patienten mit Fazialisparese haben eine schlechtere Mundgesundheit und Mundhygiene, insbesondere auf der paretischen Gesichtsseite, und eine schlechtere Lebensqualität als Patienten ohne Fazialisparese. Das individuelle Mundhygieneverhalten sowie patientenbezogene Parameter wie die Händigkeit oder die krankheitsbezogene Lebensqualität beeinflussen die Mundgesundheit der Patienten. Die Aufnahme der Mundgesundheitsvorsorge in die bestehenden Therapieleitlinien (16) und die Etablierung einer interdisziplinären Zusammenarbeit könnten verhindern, dass die Mundgesundheit vernachlässigt wird und unangenehme Folgen nach sich zieht. pi
Lisa Strobelt
Gemeinschaftspraxis Kaiser & Gonzior
Franz-Schubert-Str. 11
08297 Zwönitz
Tel.: 0175 2276748
E-Mail: lisa.strobelt@gmx.de
Anna-Maria Kuttenreich, M. Sc.
PD Dr. med. habil. Gerd Fabian Volk
Fazialis-Nerv-Zentrum, Klinik für Hals-, Nasen- und Ohrenheilkunde, Am Klinikum 1, 07747 Jena
Dr. Carien Beurskens
pensionierte Physiotherapeutin der Radboud Universitair Medisch Centrum, Geert Grooteplein Zuid 10, 6525 GA Nijmegen
Dr. rer. pol. Thomas Lehmann
Institut für Medizinische Statistik, Informatik und Datenwissenschaften, Bachstr. 18, 07743 Jena
PD Dr. med. dent. Ina Manuela Schüler
Zentrum für Zahn-, Mund- und Kieferheilkunde am Universitätsklinikum Jena, An der alten Post 4, 07743 Jena

